Add an imageAdd albumRSSAlbum overview

WoRMS Photogallery

WoRMS Photogallery » Chromista - Foraminifera (foraminifers)
Hedraites plummerae Henbest, 1963
Hedraites plummerae Henbest, 1963
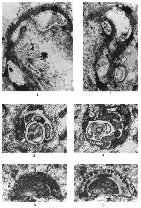
Description Pl. 4, 1–6. Hedraites plummerae n. g., n. sp., ×150. Thin sections from the type locality of the Ibex Limestone of Cheney, Lower Permian, Shackelford County, Texas.
1–2. Two specimens from the same thin section, crossed polarizers, USGS collection f-12218 (slide 15) (USNM 120587). 3. USGS collection f-12218 (slide 20) (USNM 120588). 4. Specimen referred with some question to this species, USGS collection f-12218 (slide 18) (USNM 120580). 5–6. Two views of the same specimen at 45° rotation positions, polarizers crossed, USGS collection f-12218 (slide 27) (USNM 120589).
The discussion in the explanation of Plate 3 on the diagenesis of porcellaneous shell material applies here. The striking examples of decomposition and of change to the dark, finely granular, dolomitic (?) material show the loss of characteristic fine and gross shell structures. This diagenesis, which is characteristic of practically all late Paleozoic fossils of the Cornuspiridae, was the chief source of difficulties in the past in determining whether a sessile, seemingly carbonate foraminifer shell was originally porcellaneous, chitinoid, or very finely agglutinate.
Author Le Coze, François PNG file - 704.58 kB - 664 x 981 pixels added on 2026-02-1150 viewsWoRMS taxa Hedraites plummerae Henbest, 1963 †checked Le Coze, François 2026-02-23
Click here to return to the thumbnails overview
Comment Comment (0) Click here to add a comment.
Your comment for *: Hedraites plummerae Henbest, 1963 links are not allowed Email *  
* indicates a required field.

Disclaimer: WoRMS does not exercise any editorial control over the information displayed here. However, if you come across any misidentifications, spelling mistakes or low quality pictures, your comments would be very much appreciated. You can reach us by emailing info@marinespecies.org or adding a comment, we will correct the information or remove the image from the website when necessary or in case of doubt.