Add an imageAdd albumRSSAlbum overview

WoRMS Photogallery

WoRMS Photogallery » Chromista - Foraminifera (foraminifers)
Sivasella goekceni Meriç & Inan, 1997
Sivasella goekceni Meriç & Inan, 1997
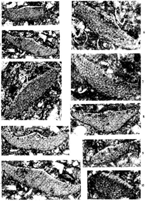
Description Figure 1,2- Axial sections, Microspheric specimens
Figure 3- Axial section, Microspheric specimen, Holotype
Figure 4-Axial section, Macrospheric specimen, Paratype
Figure 5-Axial section, Microspheric specimen
Figure 6,7- Axial sections, Microspheric specimens
Figure 8- Axial section, Macrospheric specimen, Paratype
Figure 9- Axial section, Microspheric specimen
Figure 10- Axial section, Microspheric specimen
Author Consorti, Lorenzo PNG file - 814.60 kB - 714 x 982 pixels added on 2024-06-02254 viewsWoRMS taxaMicroscope Sivasella goekceni Meriç & Inan, 1997 †checked Consorti, Lorenzo 2024-06-02
Click here to return to the thumbnails overview
Comment Comment (0) Click here to add a comment.
Your comment for *: Sivasella goekceni Meriç & Inan, 1997 links are not allowed Email *  
* indicates a required field.

Disclaimer: WoRMS does not exercise any editorial control over the information displayed here. However, if you come across any misidentifications, spelling mistakes or low quality pictures, your comments would be very much appreciated. You can reach us by emailing info@marinespecies.org or adding a comment, we will correct the information or remove the image from the website when necessary or in case of doubt.