Photo Gallery
Chitralina undulata Angiolini & Rettori, 1994
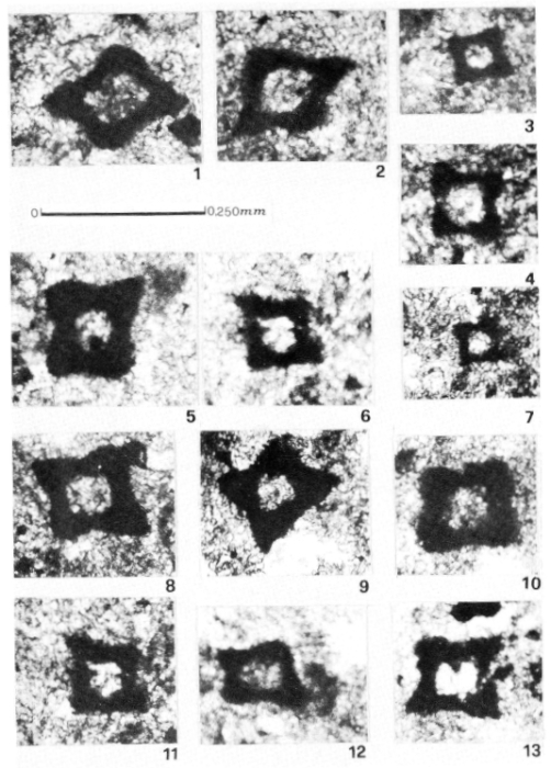
Description Angiolini, L.; Rettori, R. (1994). Chitralina undulata gen.n. sp.n. (Foraminiferida) from the Late Permian of Karakorum (Pakistan). Rivista Italiana di Paleontologia e Stratigrafia. 100(4): 477-492., available online at https://doi.org/10.13130/2039-4942/8597page(s): p. 481, Pl. 1, fig. 1-13; Pl. 2, fíg. 1-12; PI. 3, fig. 1-9 PL 4, fig. 1-6 (holotype pl. 1 fig. 1). JPG file - 252.30 kB - 535 x 747 pixels added on 2023-04-27106 viewsForaminifera taxa Chitralina undulata Angiolini & Rettori, 1994 †checked Le Coze, François 2023-04-27
This work is licensed under a Creative Commons Attribution-NonCommercial-ShareAlike 4.0 International License
Click here to return to the thumbnails overview
